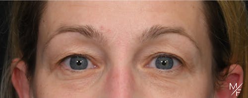
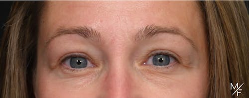
Your eyes go a long way toward enhancing your overall facial appearance, and Dr. Mark Fisher is here to help you ensure that yours truly complements your look. Eyelid surgery in Westport, Connecticut, is an effective way to treat eyelid bags or drooping, excess skin that can stand in the way of a clear and youthful appearance.
Your Consultation with Dr. Fisher
Before your procedure, you’ll meet with Dr. Fisher to go over the details of your surgery. This will be your chance to ask any questions you might have about how the surgery works, how to prepare for it, and what you’ll experience as you recover and heal. Dr. Fisher and his team want to ensure that you feel completely confident and comfortable, through every step of your procedure.



















